Türk toplumunda izah edilemez şekilde yaygın bir yanlış değerlendirme vardır. Adama bakarsını sigara içiyordur ama yüzündeki küçücük bir benin kanserleşeceğinden korkmektadır, oysa içtiği sigaradan dolayı kaciğer kanseri olma ihtimali bin kat, akciğer kanserinden ölme ihtimali milyon kat daha fazladır, bunu görmez kafasını o küçük lekeye takar.
Video ve foto için instagram.com/bentedavisi
Ben KanserleÅŸir mi?
Bu sorunun cevabı hem evettir hem de hayırdır. GüneÅŸten gelen zararlı ultra viyole ışınları atmosferde filtre edilerek dünya’ya gelir, ancak özellikle güneÅŸin dik geldiÄŸi mevsimlerde öğle saatlerinde zaralı ışınlar tamamen filtre edilemez ve cilde kadar ulaşır. GüneÅŸin zaralı ışınlarının etkileri uzun yıllar içerisinde normal ciltte ve özellikle koyu renkli benlerde birikerek hücre yapısının deÄŸiÅŸmesine ve kanserleÅŸmesine neden olabilirler. KanserleÅŸme ihtimali olmakla birlikte deri kanseri toplumda çok yaygın rastlanan bir hastalık deÄŸildir. Yani benler kanserleÅŸebilir ama her ben kanserleÅŸecek diye bir durum söz konusu deÄŸildir. Dermatologlar arasında yaygın olan ”ben kanserleÅŸme ihtimaline karşı takip edilmelidir” fikri çok mantıklı deÄŸilidr, beni alarak bu riskin ortadan kaldırılması daha mantıklıdır. Hiç bir iÅŸ gücü kaybı olmadan dakikalar içerisinde sonlandırılabilir .Hangi ÅŸekilde olursa olsun yok edilen benin kanserleÅŸme ihtimali de ortadan kalkar. Bununla birlikte hastayı estetik olarak rahatsız eden görüntü de ortadan kaldırılmış olur.
Hangi Benler Kanser Riski Taşır?
Kanserleşme ihtimali yüksek olan benler.
Her ben kanserleşme ihtimali vardır ama koyu renkli benlerin tedavi edilmemesi halinde kanserleşme riski cilt rengindeki benlere kıyasla daha yüksektir.Ancak cilt rengindeki benlerdede kanser görülebilir.
Kanserleşme riski sıklık sırasına göre
Aktinik keratoz
Boven hastalığı (boven disease)
Kerato akantoma
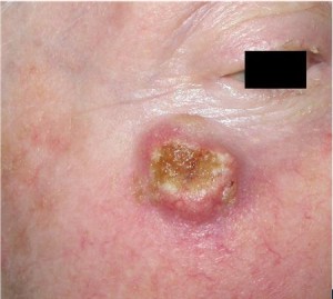
AKTİNİK KERATOZ
Solar lentigo ve solar keratozda denilir hepsi aynı hastalığı tanımlar. Güneş gören teraslarda (alın, burun üstü, elmacık kemiklerinin üstü) daha sık görülür yıllar içerisinde güneşin zararlı ışınlarının sebep olduğu bir hastalıktır. Tedavisi yapılmazsa 1/5 oranında kötü huylulaşma görülür, Kanserleştikten sonrada tedavisi % 100 e yakın ihtimalle yapılabilir.
Tedavisinde
- Radyo frekans
- Elktrokoter
- Ameliyatla alma
- Dondurarak tedavi (krio) kullanılır.
BOVEN HASTALIÄžI
Sık görülen cilt kanseririn dildin orta tabakasındaki şeklidir, genellikle kırmızımsı leke gibi görünür.net sınırları olmayan yapılardır. Erken dönem kanser olarakta kabulş edilir.Diğer ben türleri gibi daha çok güneş gören vücut alanlarında rastlanır.
Tedavisinde
- laser
- Cerrahi tedavi uygulanır.
KERATO AKANTOMA
Diğer benler gibi çıkıntılı olur ancak tepesinde yara (ülser ) hali oluşur,orta yaş üstü erkeklerde daha sıktır en çok görüldüğü yer burun kenarlarıdır. Kendi haline düzelme ihtimali olsada kesin teşhis amacıyla cerrahi olarak çıkarılması daha doğru bir yaklaşımdır.
Kanserleşmiş benin tedavisi ben tedavisi gibi yapılır
Riskli Benler
Bu guruba sokulacak olanlar aslında kanser değildir, kötü huylulaşma riski çok düşüktür ama vardır. Siyah renkli olanlar güneşin zararlı ışınlarını açık renkli olanlara kıyasla daha fazla emer ve daha fazla zarar görür. İşte benin rengi koyulaştığı ölçüde riskleri de artar. Bu sizi tedirgin etmesin koyu renkli olanlarda bile risk oldukça düşüktür. Siyah ve kahve rengi olanlarda yüksek, ten rengi veya kırmızılarda çok düşüktür. Buradaki riskin yüksekliğini yanlış değerlendirmemek gerekir. Bir benin kanserleşerek hastayı bundan öldürme ihtimali herhangi bir kişinin yıldırım düşmesi sonucu ölmesi ihtimali kadardır yani bunu panik haline getirmemek gerekir.
En Tehlikeli Ben
Malign Melanom
Melanom cilde rengini veren melanin adlı maddenin birikip leke yada şişlik yapmasını malign ise kötü huylu yani kanser olduğunu ifade eder. Derideki kötü huylu tümörlerin en az görülenidir ve en tehlikelisidir. Tehlikeli olması sebebiyle erken teşhis ve tedavi edilmesi önemlidir bu sebeple bu tarz yani koyu renkli cilt problemlerini bu konuda tecrübeli doktora tedavi ettirilmelidir. Lazerle ben tedavisi yazan güzellik merkezlerine gitmeden önce ne olduğundan emin olunmalıdır.
Tabi her kahverengi lekesi olanın da paniklemesi gerekmez çünkü yukarda belirtildiği gibi çok seyrek görülen bir urdur.
Temel renk verici olan melanin melanosit denilen hücrelerden salgılanarak birikir.
Melanom daha sık görülür ve iyi huyludur.
Kötü huylu olan güneşin dik geldiği ülkelerde daha sık güneşi az gören kuzey ülkelerinde daha seyrektir.
Türkiye de net sıklık konusunda kesin veri yoktur. Bilimsel bir veri olmamakla birlikte 15 yıldır yaptığım 10 000 den fazla ben arasında sadece bir vakamda malign melanom tespit ettim. Bu veri tek kaynaklı olması sebebiyle kesin istatistiksel bir bulgu olmasa da çok seyrek görüldüğü konusunda ciddi bir bulgudur.
Avuç içi ve ayak tabanında ben görülme ihtimali çok düşükken malign melanom vücudun her yerinde görülebilir.
Seyrek olarak renksiz olanda görülmektedir buna amelanostik tip denir.
Amelianostik dışında mikroskobik tanımlamada bir çok tipi vardır.
Malign melanom teÅŸhisi
Şüphe duyulan benden biopsi alınarak kesin teşhis konur. Renkli kısmın şekilsiz, kenarları düzensiz, kaşıntı gibi bulgularda şüphe duyulur ve bu bulgulara göre yönlenilir.
Malign Melanom Tedavisi
Lezyonun olduğu alan biraz genişçe çıkarılır, onkoloji uzmanınca takip ve devam tedavisi yapılır.
Hangi Benler Aldırılabilir
Tüm Benler Alınabilir
Evet arkadaşlar bizler 3-4 çeşit olarak bilsekte görmediğimiz, yaklaşık 200 çeşit ben bulunmaktadır. Hatta bebeklerde görülen hemanjiom (Damar Beni) olarak tanıdığımız hastalıkta bir tür bendir. Bu nedenle tüm benler alınabilir, hatta alınması önerilmektedir. Çünkü alınmadığı taktirde sürekli bir tehlike riski içermektedir.
Ben Takibi Önerilebilir (Ciddiye Almayın)
Daha çok dermatoloji polikliniklerinde ya da muayenehanelerde hastayı uzun süreli bağlama daha doğrusu oyalama uygulaması denilebilir.Aslında benlerin çokta masum olmadığını gösteren bir diğer uygulama ise ben haritası dediğimiz bir sistemdir. Ben takibi işlemi ile vücudunuzda bulunan benlerin takibi gerçekleştirilmektedir. Yani bir nevi abonelik gibi düşünün siz sürekli kontrole gittikçe ödeme yapıyorsunuz. Bu bile aslında benlerin risk içerdiğini göstermektedir. Fakat ben takibi vs yerine en doğrusu risk içeren benlerden kurtulmanızdır. Çünkü benlerin alınması mümkün ve kolaydır. Hatta riskli olmayanları bile yok ettirebilirsiniz
Ben Aldırma Zararlı mı?
Evet arkadaşlar benlerin risk içerdiğini, alınabileceğini ve en doğru seçimin ise ben aldırma olacağını gördük, peki kafanıza takılan diğer bir soru ise ben aldırma zararlımı şeklinde olmaktadır. Ben aldırma zararlı mı? sorusuna cerilecek cevap tam tersi olacaktır. Çünkü aksine yararlı olup, bir sorun ve risklerinden kurtulma anlamına gelmektedir. Tabi ki dikkat edilmesi gereke ben aldırma yöntemi nasıl yapılacağıdır. Dikkat etmediğinizde pişman olacağınız sonuçlarla karşılaşırsınız.
Ben Ameliyatı Olmayın!
Çok eski bir tedavi yöntemi olan ameliyat ben sildirmeiçin kesinlikle kullanılmaması gerekir. Çünkü ameliyat ile alınanlar yüz bölgesinde çok kötü bir görünüme neden olmaktadır. Oysaki kesinlikle gereksiz bir yöntem olan ben ameliyatı yerine ameliyatsız yöntemlerle sadece 10 dakika içinde görünmeyecek düzeyde bir iz ile alınır.
Ameliyatsız Ben Tedavi Yöntemleri Tercih Etmelisiniz?
Özellikle yüz bölgesinde yapılan ben ameliyatı çok ciddi iz kalmasına neden olmaktadır. Ameliyatsız yöntemler yapılan ben sildirme işlemi farkedilmeyecek kadar küçük bir iz kalır. O da zamanla cildin kendini yenilemesi ile kaybolmaktadır.
Ben Tedavi Edilmelimi
Evet binlerce hatta yüzbinlerce insanda mutlaka vücudunun bir yerlerinde nevüs vardır. Peki bu nevüsler mutlaka tedavi edilmesi gerekirmi? Yada neye göre cerrahi müdahale gerektirir. Dilerseniz öncelikle bu tür soruların cevabını bularak merak edilen konunun cevabını birlikte bulmaya çalışacağız.
Nevüs tedavi edilmelimi sorusunun cevabı çok net olamaz çünkü bazı kişiler var olan benlerini kendilerine yakıştırdığı için varlığından memnun olabiliyor. Bu durumda çok küçük bir ihtimalle kanserleşme riski olsada onu yok etmek çok gerekli görünmemektedir.
Estetik İçin Ben Tedavisi
Buna karşın estetik olarak hoş durmayan, eklem yerleri gibi fiziki rahatsızlık verecek yerde olan, zaman zaman kanayan, iltihaplanan benlerde problemin çözümü için tedavisi edilmelidir diğer taraftan özellikle koyu renkli olanların düşükte olsa kanserleşme riski olduğundan tedavisi daha akıllıca olacaktır. Özellikle güneşi daha fazla gören yerdekiler alınması mantıklıdır.
Sonuç olarak her ben aldırılabilir, özellikle yakıştırılanları bir tarafa bırakırsak hepsinin alınmasında yarar vardır. Unutmayın hangi sorunda olursa olsun vücuttan uzaklaştırıldığında o sorundan kaynaklanan riskler de ortadan kaldırılmış olur.
Ben Haritası Nedir?
Harita çıkartmanın aslında bir tek anlamı vardır o da hastanın gözünü boyama etkisidir.
Ben takibi Olarakta Bilinir!
Ben haritası çıkarmak yıllarca insanları oyalamak ve boşa zaman ve ekonomik kayba neden olan bir uygulamadır. Tedavi yaparak beni ve ilerleyen zamanlarda oluşacak risklerini ortadan kaldırmak en doğru yaklaşımdır.
Peki Bu Ben haritası nedir?
Dermatoskop, yada Trikoskop adı verilen cihazlarla 2 ile 100 kat arası zoom yapma özelliÄŸi bulunan kameralar ile elde edilen ben görüntüleri cihazın HDD’sinde saklanır.
Ben haritası nasıl çıkarılır?
Dermatoskop veya kaliteli bir fotoğraf makenesiyle görüntü alınıp bu görüntü hangi bölgede kaç ben var, renkleri nasıl, büyüklükleri ne kadar gibi bilgiler tek fotoğrafla kayıt altına alınır. Aslında kaliteli çekim yapan bir fotoğraf makinesi ile hasta kendi de aynı işlemi rahatlıkla yapabilir.
Son derece gereksizdir şöyle ki;
- Hastanın tedirginliğinin devam etmesine
- Gereksiz yere zaman kaybetmesine
- Ekonomik yük oluşturmasına
- Rahatsız olduğu çirkin görüntünün olduğu gibi kalmasına
- Ben kötü huyluysa sorunun büyümesine sebep olur.
Takip Edilmesi Gereken Tek Ben Hemanjiom
Bebeklerde doğuştan görülen damar beni büyüme riskike karşı takip edilir. Onun içinde hiç bir cihaza gerek olmadan anne babalar çocukların hemanjiom sorununu aylık çekecekleri görüntü ve ölçümlerle takip ederler. Büyüme olmadığı sürece bir sorun olmayan Hemanjiom büyüme sürecine girmesi halinde tedaviye başlanması gerekir.
Hangi Benler Alınmaz
Yukarıda hepsinin alınabileceğini yazmıştım, bu yazdığım bilimsel bir bilgiydi ama şu durumlarda benler alınmayabilir
– KiÅŸi benini kendine yakıştırıyorsa
– Alınması gereksiz bulunuyorsa
– Hastada tedaviye yönelik fobi varsa
Ben Aldırmak Günahmıdır
Ben bir tür hastalıktır, uzun yıllar vücutta kalması çeşitli riskler taşır. Önemsiz de olsa bir hastalık olması sebebiyle ve de riskleri olmasından dolayı alınması sağlık açısından doğru bir yaklaşımdır. Dinimiz bu konularda hep vücut sağlığını ön plana aldığı için günah değildir.
Yazan
Op Dr Nizam Kurtdere
Kaynak
https://my.clevelandclinic.org/health/treatments/10983-skin-treating-aging-skin









merhaba,
muayene ile deÄŸerlendirmek, biopsi almak gerekebilir.
Op.DR. İbrahim Kavak
Merhaba.Doğumundan bu yana bulunan üzeri tüylü kabuk bağlayan kahverengi bir benim var ve yüzümde deri rengini kaybediyor ve beyazlıyor acaba bir bağlantısı varmı dır.
Kaabuklanma yapıyorsa aldırmanızı hatta durumagöre biyopsi yapılmasını öneririm,
Öp. Dr. Seher Şirin
Bacağımda kabuklanan ben var uzun yıllardır duruyor kanserleşir mi
05426210888 nolu telefona whatsapptan fotoğraf gönderin, değerlendirelim.
Öp. Dr. Atilla Kaya
Kafa derdimde 2 3 hafta önce kabu Gibi leke çıktı.. Ben desem değil yara desem o da değil.. Virusden dolayı hastahaneleye gitmeyi de pek tercih etmiyorum.
sık travmaya maruz kalan benler zamanla kanserleşebilir,ama mutlak değil. Riskten korunmak için tedavi ettirmenizde fayda var.
Op. Dr. Nizam Kurtdere
Merhaba doktor hanim ben yaklaşik 1 ay önce yüzümdeki derime yapisik olan siyah beni sirke ile kuruttum ve ikiye bölünerek düştü şuan.lekeli ben oluşacak gibi üzeri parçali gibi duruyo ve bir tane kil çikti üzerinde şimdi veya ilerde kanser riski var mi ilgilenirseniz sevinirim.
05426210888 nolu telefona whatsapptan fotoğraf göndeein değerlendirelim.
Op.Dr.Atilla Kaya
Soru sorabiliyormuyuz bilmiyorum ama benim göbek deliginde et beni tarzi bisey var farkli renkleri var aldırmak riskli olurmu
05426210888 nolu telefona whatsapptan fotoğraf gönderin değerledirelim
Op.Dr.Atilla Kaya